Dokazni materijal

Ovaj dokazni materijal gdje jasno ukazujem na počinjenje više kaznenih djela od strane Veterinarske stanice Vrbovec, stavljam u potpunosti na uvid i raspolaganje hrvatskoj javnosti, hrvatskim medijima, Državnom odvjetništvu Republike Hrvatske, Ministarstvu unutarnjih poslova Republike Hrvatske i drugim mjerodavnim državnim institucijama Republike Hrvatske.
Iza svakog navoda, slike, dokumenta, stojim  odgovorno pod punom materijalnom i krivičnom odgovornošću.

Berislav Hermeščec

—————————————————————————————————————–

12.4.2021. Rocky ujutro jede normalno, a poslije podne odbija hranu, jedanput povraća i nema stolicu.

—————————————————————————————————————-

13.4.2021. Ujutro Rocky ponovno odbija hranu, dva puta povraća i pokušava isprazniti crijeva, ali ne uspijeva. Zovem Zorana Čička univ. mag. med. vet (voditelj ambulante Lonjica, a radi u ambulanti Dugi Dog u dugom selu ) i on mi savjetuje da odem u Lonjicu da naprave Rtg. Ja sam pitao da dođem u Dugi Dog kod njega u Dugo selo, ali je on rekao da je na godišnjem odmoru. Tad mi je rekao da će svratiti u veterinarsku ambulantu Lonjica, ali nije.

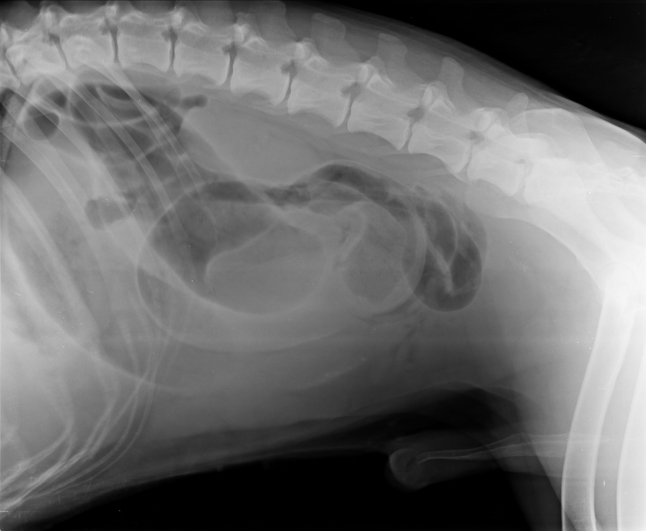
Po mom dolasku sa Rockyjem vade krv, kažu da su povišeni leukociti i rade rendgen. Kažu da se vide plinovi u crijevima. Daju mu infuziju i injekcije i zakazuju dolazak za sutra. Sve to Radi Zrinka Tirić sa veterinarskom tehničarkom. Toga poslijepodneva Rocky uzima malo vode i hrane iz moje ruke i na moj nagovor. Crijeva ne uspijeva isprazniti.

Na ovoj priznanici piše 786 Kontrolni pregled, a to je prvi pregled, čudno.

Priznanica
NAPOMENA: Ovo je jedini dokument koji koliko toliko odgovara istini i realnosti. Ja sam platio 450,00 kn i ostavio razliku.

—————————————————————————————————————–

14.4.2021. Rocky ponovno ujutro nekoliko puta pokušava isprazniti bezuspješno crijeva. Zovem Zorana Čička nakon što sam mu poslao na mobitel priznanicu od 13.4. 2021. 13. 4.. istog dana, ali mi na tu priznanicu nije ništa odgovorio Pita me dali su radili ultrazvuk, na što mu ja odgovaram da nisu.

Na njegovo pitanje zašto, ja odgovaram da ne znam. Odlazim u jutro u Lonjicu. Ponovno rade rendgen i pokušavaju sa infuzijom, ali je Rocky malo bolje pa je nemiran i odustaju od infuzije. Zrinka kaže i pokazuje mi na monitoru rendgenski snimak, kako se vidi da se komadić crijeva uvukao, pa je potrebno otvoriti pasa i povući taj dio crijeva. Zakazuje mi dolazak u 13 sati jer je pas velik pa to Zrinka dr.med.vet ne može sama već sa kolegom.

U 13 sati ponovno dovodim psa i potpisujem pristanak za operaciju. Pomognem ga staviti na stol dok Zrinka dr.med.vet daje anesteziju. Ja odlazim iz ambulante, ali toga njezinog kolege još nema. Sa automobilom veterinarske stanice Vrbovec se susrećem na izlasku iz brze ceste na Luki nakon pet minuta, pa pretpostavljam da je to taj kolega koji će pomoći Zrinki. Svraćam u Staklenik na kavu i dobivam poziv.  Znači taj poziv je bio za petnaest minuta nakon mog odlaska iz ambulante, što mi se čini prebrzo za takav zahvat i činjenicu da je kolega tek dolazio i da smo se vjerojatno sreli putem. Prva sumnja se već tu pojavljuje. Poziv mi upućuje Goran dr.med.vet i kaže da je otvorio mog psa. Da se radi o kašastim crijevima koje je pojeo karcinom i da se već proširio na testise. Govori mi da moj pas može u strašnim bolovima preživjeti najviše dva do tri dana. Predlaže eutanaziju kao najhumanije rješenje, na koju ja na žalost i pristajem.

Odlazim kući i plačem kako je to moguće, pa moj je pas do 12.4.2021. poslijepodne bio sasvim normalnog ponašanja. Čekam da me pozovu za tijelo psa i da podmirim račun, ali me nitko ne zove. Oko 17 sati ja zovem i pitam koja je procedura. Tada mi Goran dr.med.vet kaže da postoje dvije opcije, jedna da dođem po tijelo i druga je da ga se odvede u Agroproteinku. Kažem  mu da ću doći, a on mi kaže da to neka bude između 18 i 18.30.

Dolazim sa prijateljem po psa i Goran mi na svome mobitelu pokazuje dvije slike i video, kao da pogledam što su vidjeli kad su otvorili moga psa. Iako u boli i onome šoku slike koje mi je na svom mobitelu pokazao Goran dr.med.vet nekako su mi nestvarne i bude mi sumnju da na tim slikama i videu nije moj pas. Prijatelj i ja uzimamo tijelo moga psa, ali u meni crv sumnje da ja na pokazanim slikama na Goranovom mobitelu nisam vidio svoga psa.

Napomena: Plaćam 800,00 kn i ostavljam razliku. Na priznanici nije naveden rendgen iako je rađen. Dijagnoza je drugačija od one usmene usmene koju mi je rekla Zrinka 14.4.2021. kod mog prvog jutarnjeg dolaska 14.04.2021. u ambulantu, kad mi je zakazala operativni zahvat u 13 sati istog dana 14.4.2021. Ja sam naime 14.4.2021. dva puta dolazio u Veterinarsku ambulantu Lonjica. prvi puta na kontrolni pregled i tad mi je rečeno da odem kući jer je pas velik i nemaju ga gdje držati do operacije koja će biti u 13. sati.  Kod prvog mog dolaska iako je rađen rendgen i pokušana infuzija, nisam ništa platio i nisam dobbio priznanicu, što je dalo mogućnost da kod drugog dolaska u večernjim satima po tijelo psa, promijene dijagnozu na način kao da je karcinom.

Odgovorno tvrdim da se moj pas i 13.4. i 14.4. vodio se kao OBS u observaciji, najprije plinovi u crijevima, zatim uvučeno crijevo.  Iako se nesmije otvarati psa bez prethodno uspostavljene dijagnoze, oni su to učinili i na kraju ispadne treća dijagnoza.

—————————————————————————————————————–

15.,16.,17. i 18 travnja 2021. godine borim se sa sobom. Vrtim cijelu kronologiju i one dvije pokazane mi slike i video na Goranovom mobitelu. Sve me zbunjuje i svakim danom sam sve uvjereniji da se tu nešto u pozadini krije. U tim danima zovem neke prijatelje u veterini ili vezane za veterinu i molim ih za pomoć.

—————————————————————————————————————–

19.4.2021. Prijateljica zove Veterinarski fakultet Sveučilišta u Zagrebu odjel sudska veterina. Prof. dr. sc. Petar Džaja redoviti profesor, sudski vještak i Predsjednig Visokog časnog suda. Džaja precizno ukazuje na dokumentaciju koju sam morao dobiti i što su trebali raditi, kako bi potvrdili dijagnozu koju su ispisali na priznanici, meni rekli, i zbog koje su eutanizirali moga psa. Kroz razgovor sa prijateljicom provlači da je i on ” neki dan ” izgubio svoga psa koji je isto bio njemački ovčar. Prijateljica u tijeku razgovora sa Petrom Džajom radi bilješke koje su autentične na slici.

Petar Džaja
pisano za vrijeme razgovora sa Prof. dr. sc. Petrom Džajom

Ohrabren na temelju dobivenih informacija od profesora Petra Džaje, donosim odluku da ću 23.4.2021. u petak prilikom odlaska u Zagreb, svratiti u Veterinarsku ambulantu Lonjica i zatražiti nalaze na dva načina.

1. Oprostite ja sam 14.4. 2021. bi u stresu kad sam došao po tijelo psa i nisam uzeo nalaze koje ste mi dali.
2. Kad bi mi rekli da mi nisu ništa dali ili da sam sve dobio ( Priznanica ), zamolio bi ih da mi napišu pravi nalaz da ću sačekati.

—————————————————————————————————————–

20.4.2021. POČINJE MOJ PAKAO

Odlazim sa prijateljem na kavu i dobivam poziv na mobitel od Gorana Garašanina dr.med.vet Veterinarske ambulante Lonjica da mogu doći po nalaze. Na moj upit zašto i kakve nalaze ( pravim se grbav jer mi odmah je jasno da je profesor Petar Džaja njima javio ili dojavio da ja u nešto sumnjam), Goran mi kaže da mu je  voditelj ambulante Zoran Čičak univ. mag. med. vet rekao da sam ga zvao i da tražim nalaze. Bilo mi je sve jasno jer ja Zorana niti bilo kog iz VA Lonjica nisam zvao, već je profesor Džaja sve pokrenuo.

Krećem prema VA Lonjica i zovem Zorana. Kažem mu Zorane zvao me Goran da dođem po nalaze i kaže da sam ja tebe zvao i da tražim nalaze. Zoran kaže ja sam njima odmah rekao da ti daju nalaze. Nisam ga pitao kada odmah, da li još 14.4.2021 ili nakon dojave profesora Petra Džaje.

Postajem ljut, jadan, bespomoćan i svjestan da pokušavaju prikriti svaki trag. Kažem prijateljici zašto si Petru Džaji rekla o kojoj se Veterinarskoj ambulanti radi. Ona kaže da mu nije rekla, a ja sam siguran da mu je rekla ili je on sa svojom laži o gubitku psa kod nje pobudio suosjećanje i tu zadobio njezino povjerenje i izvukao informaciju.

Na put do Veterinarske ambulante Lonjica se lomim, sada više uopće ne sumnjam da prikrivaju grešku i da su prejaki i preduboko uvučeni. Donosim odluku da snimam cijeli razgovor na mobitelu.

Ulazim u ambulantu, a tamo zrinka Tirić, Goran Garašanin i mlada veterinarska tehničarka. Odmah krećem da nisam tražio nalaze i da me čudi da me sada zovu kako bi mi ih predali. Čim kažem da mi je sada sve sumnjivo kreće napad na mene i povišeni tonovi. Tražim da zovu Zorana Čička da se suočimo kada sam ja to njega zvao za nalaze ( jer ja znam kako je krenulo i da ih je zvao Džaja kako bi im dojavio ), oni to naravno odbijaju. Daju mi nalaz/mišljenje i odmah mi je jasno da su napisali baš ono što je Džaja nama savjetovao prije nego je saznao o kojoj se ambulanti radi. Na kraju ih molim da mi pošalju nalaze krvi, dva rendgena i ultrazvuka i dajem im email adresu. Goran me u oči gleda i tvrdi da sam ja odbio patohistološku pretragu i razudbu, na što naravno poludim. U oči me gledaju i bezobzirno lažu. Na upit za nalaz utrazvuka Zrinka kaže da je na monitoru pa mi ga ne može dati. Kaže da imam psihički ispad. Goran mi kaže da sam tako i Planiniću bivšem veterinaru ( mjernje piometre sa pomićnim mjerilom ) stvarao probleme, ali i priznaje da sam bio u pravu. Jasno se čuje gdje govori Zrinka da su radili samo rendgen i nalaz krvi. Ja u ruci držim ovaj dolje nalaz, a oni u svađi potvrđuju ono što je stvarno bilo, ali lažu za patohistološki i razudbu.

NAPOMENA:

Vidljivo je da je nalaz pisan 19.4.2021. dan kad je prijateljica zvala Petra Džaju na sudsku veterinu,  a on im odmah dojavio i dao savjet. Zrinka nije 13. niti 14. rekla da su povećani limfni čvorovi. Ultrazvučnu pretragu nisu radili, već i 13. i 14. samo rendgen, koji ovdje sada niti ne spominju. Zrak u crijevima je bila dijagnoza Zrinke 13.4, a uvućeno crijevo 14.4., ali ne i manja količina slobodne tekućine u trbušnoj šupljini. Nije uočila nikakvu tvorbu u području mezogastrija i nije mi preporučena laparoskopija pa nisam imao niti na što pristati.

Jasno je da je ovaj nalaz u dijelu koji se odnosi na 13.4. u potpunosti lažan osim krvnog nalaza leukocitoza. Pa da je 13.4. to istina, zar nebi 14.4. dolazio samo jednom sa psom, na dogovorenu laparaskopiju, a ne prvi puta ujutro na rendgen i bezuspješnu infuziju, a zatim popodne na operativni zahvat.

14.4. nije obavljena dijagnostička laparoskopija koja se spominje u Nalaz/mišljenje, ali niti lakši kiruški zahvat koji se navodi u priznanici, jer mi se stalno vrte one dvije slike i video iz Goranovog mobitela. Pa tamo je “navodno moj pas ” bio potpuno razrezan, a i kad sam uzeo tijelo svoga psa vidio sam šavove, mada mi u pamćenju na one slike čini se stvaran razrez na mome psu ipak nešto manji.

Što je po njima laparoskopija, lakši kirurški zahvat, a što teži kirurški zahvat…?

U mezogastriju tvorba od 8 cm je tvorba na onim lažnim slikama nekog drugog psa koje mi je Goran podvaljivao.

tonski snimak iz Veterinarske ambulante Lonjica 20.4.2021. kad sam došao po nalaze

Posebno čudi dio u kojem ja kažem da jedino mlada veterinarska tehničarka osjeća, a Zrinka odgovara kako ona nije bila tu. Pa mlada tehničarka je 13.4.2021. davala infuziju mome Rockyju i pomagala oko rendgena. To je isto činila 14.4.2021. kod mog jutarnjeg dolaska i u 13 sati 14.4.2021 je bila prisutna i pomagala Zrinki kod anestezije.

Zašto sada lažu da mlada veterinarska tehničarka nije bila prisutna.

Po povratku iz Veterinarske ambulante stiži mi nalazi za pretrage koje su stvarno radili i slike koje mi je Goran pokazao 14.4.2021. kad sam došao po tijelo svoga psa. Slijedi surova istina, ali i potvrda da sam bio u pravu kad sam sumnjao da su pogriješili i da sakrivaju pogrešku.

nisam siguran da sam takvu sliku rendgena gledao na monitoru u ambulanti Lonjica, ali nigdje nema moga imena ili imena moga psa

drugi rtg

nisam siguran da sam takvu sliku rendgena gledao na monitoru u ambulanti Lonjica, ali nigdje nema moga imena ili imena moga psa

za krvnu pretragu koja je rađena 13.4.2021. ja dobivam nalaz bez mog imena ili imena moga psa gdje se vidi krivi datum 14.5. 2021 znači mjesec dana unaprijed

Goran Garašanin mi šalje one slike koje mi je pokazao 14.4.2021. i koje su pobudile moju sumnju u njihovu stručnu pogrešku i od kuda je sve krenulo.

ovaj pas nije obrijan, ima smeđu dlaku, prerezana mu je aorta i to ne može biti slika moga psa

 ovaj pas nije obrijan, ima smeđu dlaku, prerezana mu je aorta i to ne može biti slika moga psa

ovo je moj Rocky, obrijan i crna dlaka do obrijanog dijela

Nakon što sam dobio nalaze i slike jasno je da su sve lažirali i da nešto prikrivaju. S ozirom da su mi te lažne slike pokazane 14.4.2021. nekoliko sati nakon operacije, jasno ukazuje da su već tada počeli sa prikrivanjem svoje pogreške. Po veličini reza na mome psu kao i na slikama psa koji nije moj, vidi se da to nije laparoskopija, ali niti lakši kirurši zahvat kako stoji u priznanici od 14.14.2021. Ovdje su oba psa jako razrezana što se vidi na slikama.

Zovem Ivicu Vujevića direktora Veterinarske stanice Vrbovec koji je i član Stručnog odbora Hrvatske veterinarske komore, da ga upoznam sa situcijom. On kreće ljubazno a ja sa svojim načinom da nisam zvao niti tražio nalaz. On kreće ljubazno podilažući mi, ali ubrzo nakon toga slijedi PAKAO.

tonski snimak razgovora sa direktorom VS Vrbovec 20.4.2021. Ivicom Vujevićem

Kaže mi otvoreno da su ga zvali njegovi sa fakulteta i profesor Petar Džaja. Ivica Vujević mi kaže da uznemiravam njegove djelatnike. Na moje pitanje koga ja to uznemiravam i kako, odgovara da sam pet puta zvao Gorana Garašanina. Kaže ako su pogriješili oni će platiti, ali nisu pogriješili. Drzak bahat, ali priznaje dojavu, nema pijateta, ne može se sa njime razgovarati. Navodi mi jedan slučaj prije par godina i tu me optužuje da ja stalno stvaram probleme. (taj ću slučaj objaniti kasnije ). U drskosti kaže da veterinarska može pogriješit i platit i opet nema problema.

Prijeti da će pronaći kolegicu koja sumnja u njihovu pogrešku i koja je zvala Petra Džaju. Zabranjuje mi da zovem i da ikad više koristim njihove usluge.

Napravio sam izlist mojih poziva prema njima jer tvrdnje Ivice Vujevića da sam ih uznemiravao nisu istina. Ovo dolje je prikaz mojih poziva prema Zoranu Čičku, Ivici Vujeviću, Goranu Garašaninu i Petru Džaji, gdje se jasno vidi da od 14.4. 2021. do 19.4.2021. ja njima i nikome nisam uputio niti jedan poziv.

ZORAN ČIČAK
13.4.2021. 08:26:42         00:01:02
14.4.2021. 08:44:18         00:01:18
20.4.2021. 13:59:43         00:00:58

IVICA VUJEVIĆ
20.4.2021.   14:30:59        00:05:59

GORAN GARAŠANIN
20.4.2021.   16:41:31        00:06:02

PETAR DŽAJA
21.4.2021.    09:46:20        00:03:23

Završavam razgovor sa direktorom veterinarske stanice Ivicom Vujevićem i zvoni mi mobitel, zove Goran Garašanin.

tonski snimak razgovora sa Goranom Garašaninom iz Veterinarske ambulante Lonjica, on zvao mene

Goran u tijeku razgovora indirektno potvrđuje da ultrazvuk koji se navodi u nalazu nije rađen 13.4.2021., već kao kad je pas bio pod anestezijom ili eutaniziran jer spominje da su radili Zrinka i on. To je dokaz lažiranog nalaza i da je pas podvrgnut operaciji na osnovu rendgena, a ne ultrazvuka ili laparoskopije. U dijelu gdje Goran kaže da nemaju nalaz ultrazvuka jer se gleda na monitoru, ali da se na rendgenu bolje vidi, a Zrinka to prije operacije nije vidjela, znači samo jedno, da svatko vidi drugačije ili da to nisu rendgenske snimke moga psa, da su mi i to podvalili.
Na rendgen snimkama nema moga imenam prezimena ili imena moga psa.

Goran također potvrđuje u razgovoru da zna za raniji slučaj ( mjerenje pomićnim mjerilom kod kuje sa piometrom ) u istoj ambulanti i da ja nisam bio kriv, ali me je time tukao u nedostatku drugih argumenata.

Gledam sve nalaze koje sam dobio i one slike koje nisu slike moga psa. Boli me lažirani nalaz koji sam dobio, a ispisan je dan ranije 19.4.2021. kao što je Goran rekao u večernjim satima. Nakon dojave profesora Petra Džaje pisali su nalaz/mišljenje na način da prikriju grešku i dosta toga što nisu radili. Najviše boli onaj dio gdje stoji da sam ja odbio patohistološku pretragu i razudbu. To mi je Goran lagao gledajući me u oči u Veterinarskoj ambulanti Lonjica.

Odlučim da ga nazovem i da poslednji puta pokušam razotkriti i tu laž, jer smatram da su to trebali učiniti i bez da me pitaju, a kamoli da ja to odbijem koji sam volio svoga psa i koji želim samo saznati istinu. Mogu ja raumijeti gubitak psa zbog starosti ili bolesti, ali ne ja sam svoga psa izgubio zbog pogreške i sada to pokušavaju prikriti.

tonski snimak razgovora sa Goranom Garašaninom iz Veterinarske ambulante Lonjica, ja zvao njega

Konačno istina i od Gorana, ona koju je skrivao. Prvo u razgovoru navodi da mu je moj pas 14.4.2021. bio treći pas na operativnom zahvatu, pa je možda ovoj dvojici prije mene rekao za patohistološku i razudbu, a meni nije. Zar nije malo čudno da su taj dan tri psa izgubila život. Ja razgovor i dalje usmjeravam na činjenicu da ja nisam tražio nalaze i on se opušta i već za minutu izgovara istinu. Goran je radio popodne i moj pas je njemu bio prvi pas toga dana, ali i potvrđuje da je moj pas bio pod anestezijom dok je on još bio kod kuće, jer je od kuće žurio da ne bude dugo pod anestezijom.

Dio u snimci razgovora u 04,19 minute, gdje Goran izjavljuje: „…ja sam na kraju krajeva bio treći koji je išao psa operirati“. Ovaj dio nije jasan što je on mislio pod tim da je bio treći koji je išao psa operirati. Tko je bio prvi, a tko drugi, kad je on bio treći.

—————————————————————————————————————–

21.4.2021.

Vjerujući da sam razotkrio sve što sam mogao, želim još provjeriti i dokazati da redoviti profesor Veterinarskog fakulteta Sveučilišta u Zagrebu Prof. dr. sc. Petar Džaja, sudski vještak i predsjednik Visokog časnog suda Hrvatske veterinarske komore nije postupao po službenoj dužnosti već nečasnoj dojavi.

Zovem na Veterinarski fakultet profesora Petra Džaju i snimam ponovno razgovor.

tonski snimak razgovora sa Prof. dr. sc. Petar Džaja

Od samog početka razgovora Prof. dr. sc. Petar Džaja je htio što prije prekinuti razgovor. U razgovoru je potvrdio da je poziv prema njemu bio samo savjetodavne naravi, a ne zahtjev za postupanje. Sam je priznao da nije bilo nikakvog postupanja već samo njegov poziv prema njima u kojem ih je obavijestio. Također je jasno rekao da nema potrebe za nikakvim pisanim tragom, već on to može tako. Jasno daje na znanje da je on sudski vještak i da je tu priči kraj. Vidljivo upoznat sa svime namjerno odvodi razgovor na bakteriološke pretrage i zanemaruje patohistološke i razudbu. Spominje karcinom i metastaze pa je očito sa svime u pozadini upoznat bolje od mene. Na moje riječi da je i on izgubio psa, ne reagira iskreno.

—————————————————————————————————————–

23.4.2021.

Na putu prema Zagrebu nisam skrenuo u Veterinarsku ambulantu Lonjica po nalaze kako sam prethodno planirao jer nakon dojave Petra Džaje 19.4.2021. po iste sam došao kad su me nazvali 20.4.2021.

Iako sam mislio da ću taj dan provesti bez VA Lonjice u mislima koliko je to moguće u takvim trenucima, zvoni mi mobitel i slijedi poziv od Gorana Garašanina. Goran vidno uzrujan mojim objavama na mom facebook profilu, i pitanjima kroz poruke na facebook profilu Veterinarske ambulante Lonjica, kreće sa uvredana i prijetnjom.

Moj prijatelj koji je bio sa mnom u jednom trenutku više nije mogao izdržati tu silinu napada na mene i javio se Goranu. Njegovu zabilješku po dolasku kući objavljujem u cijelosti.

Telefonski poziv Gorana Garašanina, veterinara Veterinarske ambulante Lonjica, zaprimljen je dana 23 travnja ove godine u vremenu između 09-09,30 sati. Razgovor je odmah započeo povišenim glasom, gotovo vičući, ubrzanim govorom, vrijeđajući i prijeteći Berislavu da se prestane miješati u njegov rad već da se posveti medicini gdje je stručan, a ne veterini. U tom kontekstu između ostalog je izjavio kako svoje probleme rješava kamenom, što je shvaćeno kao prijetnja upućena Berislavu ukoliko ne prestane sa svojim aktivnostima. Nakon upozorenja da razgovor sluša odvjetnik i odvjetnikovo upozorenje Goranu da prestane s vrijeđanjem, uznemiravanjem i prijetnjom prema vlasnika psa zbog moguće tužbe, snizio je ton i pristojnije se uključio u razgovor vezano za Nalaz i fotografije koje je dostavio Berislavu. U nastavku predmetom razgovora bio je Nalaz veterinarske ambulante. Zastupao je ispravnost ovog dokumenta navodeći kako su poduzete sve radnje, među kojima i ultrazvuk. Ponovo mu je ukazano kako se sumnja u ispravnost Nalaza jer, osim što se ultrazvuk spominje kao obavljena usluga ona nije potkrijepljena računom a niti snimkom koja bi bila priložena uz Nalaz kao što je to slučaj sa obavljenim RTG-om, za koji je ispostavljen račun i snimka se nalazi u privitku Nalaza. Također je ukazano kako usluga RTG nije navedena u Nalazu. Goran je ovo obrazložio činjenicom da zbog ishoda operacije nije želio naplatiti sve obavljene usluge, među kojima i uslugu obavljanja ultrazvuka, te uputio Berislava da si ponovo pročita Nalaz. Kada mu je ponovljeno da u Nalazu nije navedena usluga RTG i da bi to trebao znati jer je osobno izradio i svojim potpisom ovjerio sadržaj Nalaza, Goran je burno reagirao upućujući nas da si još jednom pročitamo Nalaz. Na našu ponovljenu konstataciju, odgovorio je upitom-konstatacijom, da li je moguće da nije naveo uslugu RTG-a? Postavljeno je i pitanje zašto nije napravljena patohistološka pretraga na što se Goran pozivao na sadržaj Nalaza u kojem se navodi da je vlasnik psa odbio rasudbu i patohistološku pretragu. Odgovoreno mu je da vlasniku psa nije ukazano na mogućnost patohistološke pretrage niti ga tražili dozvolu za nju.

U osvrtu na dostavljene fotografije kojima je veterinar Goran nastojao potkrijepiti dijagnozu o adenokarcinomu i prijedlog za autanaziju, ukazano mu je kako su navedene fotografije sporne jer one ne prikazuju Rockya već nekog drugog psa. Na ovaj zaključak upućuje dužina operativnog reza, prerezana aorta i način obrade kože za operaciju. Naime, na slici je prikazan pas koji ima rez po cijeloj dužini od prednjih prema stražnjim nogama, oko 50 cm, dok je kod Rockya rez bio do 25 cm. Na slici se vidi prerezana aorta. Također je ukazano kako je Rocky bio obrijan u predjelu operativnog reza dok je rez na psu sa fotografije obavljen preko ošišane dlake. Ove zaključke Goran je pokušao braniti našom nestručnošću, čudeći se našoj izjavi o prerezanoj aorti, međutim odgovorom da mi samo prenosimo zaključke stručnjaka koji imaju duplo više iskustva nego on godina starosti, u nastavku razgovora zamjetna je njegova zbunjenost. Kako smo nastavili s obrazlaganjem, Goran je u jednom trenutku izjavio kako se sada sva krivnja baca na njega, koji do sada nije imao „mrlje u svom radu“ i da bi trebali porazgovarati sa Zrinkom, jer je „on samo otvorio psa“. Ubrzo nakon toga, neočekivano je prekinuo razgovor.

—————————————————————————————————————–

27.4.2021.

27.4.2021. Podnio sam prijavu Hrvatskoj veterinarskoj komori protiv: Prof. dr. sc. Petar Džaja, Ivica Vujević univ. mag. med. vet., Zrinka Tirić dr.med.vet., Goran Garašanin dr.med.vet.

Tekst prijave Hrvatskoj veterinarskoj komori:  http://www.rocky-balboa.com/wp-content/uploads/2021/05/Veterinarska-komora.doc

————————————————————————————————————-

29.4.2021

29.4.2021. na mom facebook profilu se pojavljuje poruka koju mi šalje Snježana Jambrečec Frajt, koju osobno poznajem jer je koristila moje usluge unazad nekoliko godina, gdje me pita što je bilo mome psu.
Ona ima također loša iskustva sa Veterinarskom ambulantom Lonjica, ali i povrđuje kroz poruku upućenu meni da se njima u praksi često događa da pomiješaju nalaze.

—————————————————————————————————————–

1.5.2021.

1.5.2021. Veterinarska ambulanta Lonjica izrađuje lažni facebook profil kako bi preko njega, demantirali koliko je moguće objave na mom i njihovom facebook profilu i vodili borbu sa mnom kao iz jedne neutralne strane koja bi zapravo njih prikazivala u svijetlijem tonu.

Preko tog lažnog izrađenog profila na ime Natalija Nataša pašalić počelo je komentiranje, ali na moju brzu reakciju najprije mijenjaju ima u Natalija Pašalić, užurbano novom profilu dodaju sadržaj, mijenjaju naslovnu sliku profila, da bi ga kasnije i ugasili. Sa svog facebook službenog profila su kasnije nestali komentari i objave tog lažnog profila, ali sam ja uspio većinu snimiti, pohraniti u arhivu i napravio video.

vido dokaz lažnog facebook profila Veterinarske ambulante Lonjica

—————————————————————————————————————–

11.5.2021.

11.5.2021. Dobio sam poštom od Hrvatske veterinarske komore obavijest da je ista zatražila po mojoj prijavi očitovanje od strane: Prof. dr. sc. Petar Džaja, Ivica Vujević, univ. mag. med. vet., Zrinka Tirić dr.med.vet., Goran Garašanin dr.med.vet.. Rok za njihovo pisano očitovanje je 15 dana po primitku.

koverta od Hrvatske veterinarske komore

dopis Veterinarskoj stanici Vrbovec

dopis na Veterinarski fakultet Sveućilišta u Zagrebu za prof. dr. sc.  Petar Džaja

—————————————————————————————————————–

17.5.2021.

17.5.2021. U Lysacan su vidim upisali da je Medena cijepljena 4.2. 2021., što nikako nije istina i što potvrđuje da oni zaista fasificiraju svu dokumentaciju na način kako žele. Rocky i Medena su poslednji puta cijepljeni 3.9.2020. što se vidi i u obje knjižice. Kad imaš dva psa onda ih cijepiš od jednom. Problem je u tome što su u Lysacan upisali samo Rockyju, a Medenu su zaboravili uvesti, pa je ostao stari datum cijepljenja 25.9.2018.

Nakon što se sve ovo pokrenulo i kad sam podnio prijavu Hrvatskoj veterinarskoj komori, oni su krenuli malo poslagivati svoju dokumentaciju i vidjeli da Medenu nisu upisali. Pošto više očito ne mogu ući i unijeti prošlu godinu, lažno su napisali da je Medena cijepljena 4.2. 2021. Zašto bi bila cijepljena 4.2.2021. kad vrijedi cijepljenje do 3.9.2021., a i kad bi bila ona cijepljena, cijepio bih i Rockya jer je on 4.2.2021. bio živ.

Ovo je konkretan dokaz kako Veterinarska stanica Vrbovec fasificira i lažira svu dokumentaciju i Lysacan sustav RH.

MOJE RANIJE LYSACAN ISKUSTVO SA NJIMA OD PRIJE NEKOLIKO GODINA !
Kad prijavite neodgovornog vlasnika čiji pas danima luta po ljetnim vručinama, zavlači se pod mostove i ulazi u dvorišta, cvileći i tuleći. U kasnim noćnim satima prije izlaska Veterinarske inspekcije, taj pas se uvodi u Lysacan kao cijepljen iako do večernjih sati je bilo vidljivo u tom istom Lysacan sustavu da nije bio cijepljen.

VIDEO DOKAZ: VETERINARSKA STANICA VRBOVEC UHVAĆENA U POČINJENJU KAZNENOG DJELA KRIVOTVORENJA SLUŽBENIH PUTNIH ISPRAVA REPUBLIKE HRVATSKE

DOKAZ LAŽNOG UPISIVANJA U Lysacan i realno stanje u knjižici Medene

paralelan prikaz dviju knjižica

3.9.2020. su stvarno cijepljena oba moja psa, i Rocky i Medena

knjižica Medene na dan 17.5.2021.


Lysacan na dan 4.5.2021. jasno pokazuje da Medena nije bila upisana kad i Rocky


Lažno stanje u sustavu Lysacan na dan 17.5.2021.
4.2. 2021. je moj Rocky bio još živ pa bi i on bio cijepljen kad i medena


Lysacan kronologija cijepljenja

Kod unošenja Datuma cijepljenja u Lysacan važno je napomenuti da datum ne može biti iz budućnosti, niti može biti datum koji je stariji od 4 mjeseca (za cijepljenja starija od 4 mjeseca potrebno se prvo obratiti Minstarstvu poljoprivrede za odborenje upisa, a zatim kontaktirati Službu za korisnike. Baš me zanima da li su zatražili odobrenje i tko je odobrio unos nakon toliko vremena.

27.5.2021.

Dana 27.5. 2021 od strane Hrvatske veterinarske komore obavješten sam da se odbacuje moja prijava protiv prof. dr. sc. Petra Džaje dr. med. vet. kao neosnovana da je u svom postupanju postupao suprotno pravilima struke, Kodeksu veterinarske etike i  Kodeksu dobre veterinarske prakse.

Obavijest je potpisao Predsjednik Hrvatske veterinarske komore Ivan Zemljak univ. mag. med. vet., koji mi je rekao prilikom razgovora, kad sam mu spomenuo da imam tonske snimke razgovora, rekao da ih za sada nećemo koristiti. Ne znam kada je mislio da ih koristimo.

strana 1


strana 2


strana 3

Da li prof. dr. sc. Petra Džaje dr. med. vet. govori istinu u svom očitopvanju Hrvatskoj veterinarskoj komori lako možete utvrditi slušajući tonski snimak našeg razgovora od 21.4.2021.

Ivan Zemljak univ. mag. med. vet., koji mi je rekao prilikom razgovora, kad sam mu spomenuo da imam tonske snimke razgovora, rekao da ih za sada nećemo koristiti. Ne znam kada je mislio da ih koristimo.

dokaz da sam rekao Ivanu Zemljaku za tonske snimke

——————————————————————————————————————————————————-

Iako sam još dana 27. travnja 2021. uputio prijavu HVK protiv Ivice Vujevića, univ. mag. med. vet., Zrinke Tirić dr. med. vet. i Gorana Garašanina dr. med. vet do 14. lipnja 2021. nisam dobio odgovor. Na moj upit putem elektronske pošte, 15. lipnja dobivam odgovor.

————————————————————————————————————————————————

18.06.2021

18.06. 2021 Dobivam od HVK da se moja prijava odbacuje. Pogledajte očemu se radi i kako djeluje korupcija, sukob interesa i udružena kriminalna organizacija u hrvatskoj veterini.

25.6.2021.

piometra

Predsjednik Hrvatske veterinarske komore Ivan Zemljak nije tražio nadopunu moje prijave vezano za slučaj ŠUBLER (pomićno mjerilo ) u Veterinarskoj ambulanti Lonjica prije mnogo godina. To je bilo i prošlo, ja nisam potegnuo taj slučaj već Goran Garašanin. Naprotiv iako sam u prijavi naveo mjesto liječenja, on u obrazloženju odbacivanja moje prijave navodi da ne sadržava datum, pojedinosti pa čak ni mjesto iako sam u prijavi naveo Veterinarski fakultet.
Dokaz da ja nisam lagao u prijavi HVK kao što lažu Zrinka Tirić, Goran Garašanin i Ivica Vujević.
Ja za sve imam čvrst dokaz i ISTINU, a ne krivotvorene nalaze, fotografije, videa, kartone i još mnogo toga čime se služe Zrinka, Goran, Ivica, Petar, ali Zemljak to jako dobro zna.

25.06.2021.

Dana 25.06.2021. upućujem email na HVK u kojem tražim dokumentaciju njihovog očitovanja i taj navodno famozni karton pacijenta na kojem je moj potpis. Ukazujem i na činjenicu da na njihovom skupnom očitovanju se ne može zaključiti onaj dio koji se odnosi na direktora VSV Ivicu Vujevića. Posebno ukazujem na na video sadržaj koji se spominje u odluci HVK u trajanju 18. sekundi.

Od predsjednika HVK Ivana Zemljaka dobivam odgovor 28.06.2021 u kojem mi navodi da karton pacijenta i taj novi video u trajanju od 18 sekundi mogu zatražiti u VSV, što sam i učinio.

30.06.2021.

Dobivam email od Zorana Čička voditelja Veterinarske ambulante Lonjica, gdje se u privitku nalazi krivotvoreni karton pacijenta i video podmetnutog psa.

krivotvoreni karton pacijenta

NAPOMENA

Ja sam potpisao suglasnost za operaciju psa, ali sve ovo drugo je naknadno upisano. Pogledajte gore desno datum ovog dokumenta, koji nema službeni pečat. Također Petar Blažević radi u Veterinarskoj ambulanti Dugi Dog u Dugom selu i nema ništa sa ovim slučajem. Ovo je samo nastavak krivotvorenja ovog dokumenta od strane Veterinarske stanice Vrbovec kao i svih dokumenata do sada. Jedino je novost u svemu ovome sudjelovanje Zorana Čička, za kojeg sam iskreno mislio da u ovome svemu ne sudjeluje.

Da je ovaj krivotvoreni dokument postojao u realnom vremenu, oni nebi tri puta mijenjali lažne nalaze. Ovo je zadnji krivotvoreni njihov dokument a i za to imam dokaz

 

Na dostavljenom videu se na samom početku dok se još ne pokrene PLAY jasno vidi da to nije moj pas. Ovaj pas ima žućkastu dlaku i nije pasmine njemački ovčar. To je neki mali i neobrijani pas slikan i  sniman za vrijeme obdukcije.

Zanimljivo je kako to sve prolazi kod Hrvatske veterinarske komore i Ivana Zemljaka, a znamo i zašto.

29.7.2021.

ministarstvo poljoprivrede

dopis Ministarstva poljoprivrede Hrvatskoj veterinarskoj komori

HVK ministarstvu poljoprivrede

očitovanje Hrvatske veterinarske komore ministarstvu poljoprivrede

KRAJ – NE NIJE KRAJ

Dana 22.9.2021. dolaze mi dva službenika PP Vrbovec da mi uruče poziv da dođem u PP Vrbovec. Na pozivu sam osumnjičeni.

Dana 23.9.2021. u 10.30 bio sam u PP Vrbovec i davao iskaz pred kamerom, što znači za Državno odvjetništvo Republike Hrvatske. Iskaz sam davao sat i pol po kronološkom redoslijedu događaja. Zanimljivo je koji su to mafijaši, lažljivci i nemoralni veterinari.

Nije istina da sam ja njih zvao ili dolazio, prijetio ili maltretirao. Svi moji razgovori i kontakti sa njima su zabilježeni i baš audio dokazi koji ih najviše bole su krunski dokaz. 20 i 21 travnja 2021.sam ja s njima razgovarao i to je u audio objavama. 23 me jedino Goran Garašanin još nazvao da bi mi prijetio kamenovanjem za što imam svjedoke.

Oni podnose lažnu kaznenu prijavu da sam dolazio u više navrata točno neutvrđenog vremena i datuma.  Pa zašto ako sam dolazio nisu zvali policiju. Zašto me nisu slikali, snimili, zašto me nemaju na nadzornim kamerama. To su lažljive gnjide od veterinara. Pa kako je moguće da sam dolazio istovremeno na tri lokacije, Vrbovec, Lonjica i Dugo selo.

Na prvom audio zapisu nakon dvadesetak sekundi sam baš ja rekao Garašaninu da zove policiju da me odstrani, a ne da mi on prilazi s tom namjerom. To se jasno čuje na audio snimci.

Naravno da nisam dolazio , ali kad se radi o takvim bolesnicima ništa nije iznenađujuće.

Svaku laž sam im dokazao, pa i u ovoj sramotnoj kaznenoj prijavi na samom početku kažu da sam izrevoltiran što je moj pas uginuo za vrijeme operacije….., ali zašto su onda tražili dozvolu za eutanaziju, pa da prikriju ubojstvo zar ne.

Zoran Čičak je najviše odgovoran jer je jedini stručan i baš zbog njega sam otvorio njihova vrata, ali je i najveće govno od svih njih. Zanimljivo je da svukdje nastupaju zajedno, kod kaznene prijave i kod očitovanja Hrvatskoj veterinarskoj komori na čijem je čelu dno od čovjeka Ivan Zemljak.

Veterinarska govna koja ubijaju kućne ljubimce, krivotvore dokumente, nalaze, činjenice.

Koliko su ažurni i profesionalni u vođenju medicinske evidencije možda najbolje pokazuje njihova web stranica koja dovodi korisnike njihovih usluga u zabludu jer se na njoj navode neki doktori veterine kao rade u VA Lonjica, a oni u stvari već nekoliko godina tamo ne rade.

web stranica Veterinarske stanice Vrbovec

bio sam u pravu da ime veterinarske tehničarke na web stranici Veterinarske stanice Vrbovec nije promijenjeno i da je i taj podatak lažan, a nazočnost tehničarke koja je bila žele negirati